Жидкость для индикации зубного налёта Index Dual: Профессиональный стандарт диагностики.

Гарантируем сервис Подробнее
Артикул: UID1610
Бренд: MDS
Наличие: Есть в наличии
488 грн   400 грн

Почему профессиональная гигиена начинается с цвета: взгляд эксперта на Index Dual

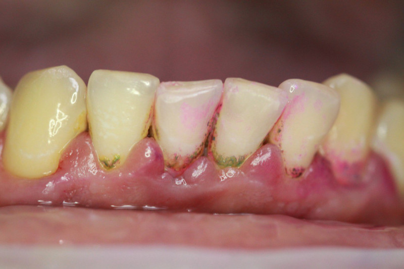
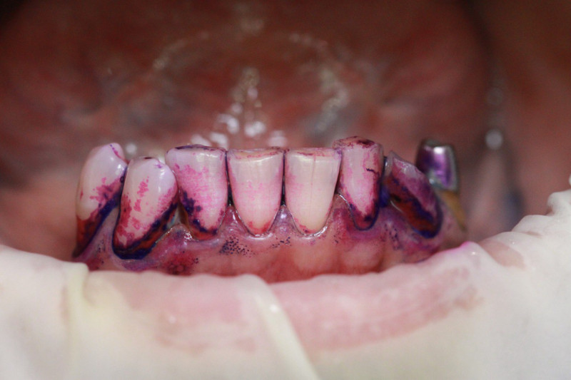
Index Dual — это диагностический маркер, предназначенный для идентификации зрелости зубных отложений. В современной стоматологии это «детектор лжи» для пациента и навигационная карта для врача. Без использования подобных средств эффективность профессиональной чистки снижается, поскольку до 30% налёта остаётся незамеченным в межзубных промежутках и поддесневой зоне.

Для кого и для чего создан этот продукт?

  • Для гигиенистов (Протокол GBT): Это базовый этап перед использованием Air-Flow. Окрашивание позволяет работать целенаправленно, экономя порошок и время врача.
  • Для пародонтологов: Чёткая дифференциация старого налёта (синий цвет) указывает на зоны риска развития пародонтита и локализацию патогенной флоры.
  • Для детских стоматологов: Лучший способ наглядно продемонстрировать ребёнку (и родителям) последствия плохой чистки зубов.
  • Для ортодонтов: Контроль гигиены вокруг брекет-систем, где риск деминерализации эмали критически высок.

Технические характеристики (клинический взгляд) 

Index Dual работает по принципу селективного окрашивания: свежий налёт (до 24 часов) становится розовым, а зрелый кариесогенный налёт (более 24 часов) — синим.

Параметр Практическое значение
Двухтоновая формула Дифференцирует свежую и старую биопленку
Высокая контрастность Хорошо видно даже в пришейной зоне
Быстрый эффект Индикация через несколько секунд
Легкое смывание Не оставляет длительного окрашивания эмали
Экономный расход Минимальное количество на одно применение

Сравнение с премиум-сегментом

Характеристика
Index Dual (MDS)
GC Tri Plaque ID Gel
Curaprox PCA 223
TePe Plaque Search
Форма Жидкость (флакон) Гель (туба) Таблетки Жидкость
Цветовая индикация 2 цвета (Dual) 3 цвета 2 цвета 2 цвета
Удобство нанесения Высокая (микробраш) Средняя (требует нанесения слоем) Низкая (зависит от пациента) Высокая
Концентрация Насыщенная (экономная) Густая Стандартная Стандартная
Цена/Результат Лучшее соотношение Дорого (бренд Япония) Премиум (Швейцария) Средняя

Преимущества:

  • Экономичность: Благодаря жидкой консистенции Index Dual расходуется в 3 раза медленнее гелевых аналогов. Одного флакона хватает на 150+ процедур.
  • Чёткая контрастность: Синий цвет настолько интенсивный, что его невозможно спутать с естественной пигментацией или гиперемией дёсен.
  • Скорость реакции: Окрашивание происходит мгновенно после контакта с биоплёнкой.
  • Отсутствие эритрозина: Более современная формула, минимизирующая аллергические реакции.

Недостатки:

  • Текучесть: Из-за жидкой формы требует осторожного нанесения микробрашем, чтобы избежать разбрызгивания на одежду пациента (пятна трудно выводятся).
  • Вкусовой акцент: Имеет специфический привкус, который может не нравиться слишком чувствительным пациентам.

Решения для специалистов по направлениям

  • Терапия: Используйте Index Dual перед реставрацией. Если после очищения на эмали остаётся синий пигмент — адгезия будет нарушена. Это ваш маркер качества подготовки полости.
  • Детский приём: Нанесите жидкость на зубы ребёнка, дайте посмотреть в зеркало — это заменяет 15-минутную лекцию о важности щётки.
  • Профилактика: Лучший инструмент для обучения пациента правильным движениям щёткой (техника Bass).

Ответы на вопросы, которые чаще всего возникают у клиник

Как правильно наносить Index Dual?
Используйте микробраш или ватную палочку. Нанесите на все поверхности зубов, подождите 10–20 секунд и попросите пациента прополоскать рот водой.

Окрашивает ли Index Dual язык и слизистую?
Да, как и любой эффективный индикатор. Однако с мягких тканей пигмент смывается в течение 15–30 минут естественной слюной.

Безопасен ли состав жидкости?
Да, Index Dual содержит пищевые красители, прошедшие сертификацию. Он безопасен при случайном проглатывании малых доз.

Как удалить синий пигмент с зубов?
Он легко удаляется профессиональной пастой с низким RDA или с помощью порошкоструйного аппарата (Air-Flow).

Заключение эксперта

Index Dual — это не маркетинговый аксессуар, а рабочий клинический инструмент контроля биоплёнки.

В руках врача он превращается в:

  • доказательную коммуникацию,
  • инструмент мотивации,
  • элемент профилактической стратегии.

 

По заказу обращайтесь к менеджерам компании MDS 
+38 (068) 337 37 37

или оставляйте заявку, мы перезвоним Вам:
https://mg-dental.com.ua/#callback

По вопросам сервисного обслуживания или ремонта обращайтесь в сервисный центр MDS
https://mg-dental.com.ua/service/

Отзывы с Instagram
https://drive.google.com/file/d/1NfuSkyHG34beVD4gCpJI8F0WD0txh-fL/view

Отзывы

Нет отзывов об этом товаре.

Просмотренные товары